近日,我院骨科学科带头人赵亮主任团队采用由我院胸外科何建行教授国际首创的“无管化”自主呼吸麻醉技术(又称Tubeless)成功为98岁高龄髋部骨折的汤奶奶(化名)实施人工髋关节置换手术,助力老人快速康复,重新开启正常生活。
98岁老人摔倒致髋部骨折
患者汤奶奶今年已经98岁高龄了,身体硬朗的她依然可以自主行走、煮饭,国庆节假期期间,她在家中因不慎摔倒导致左股骨颈骨折,剧烈的疼痛让她无法坐起身来,更别说走路了,家人慕名找到我院骨科赵亮主任。
汤奶奶年事已高,伴有主动脉瓣关闭不全、主动脉及冠状动脉硬化、贫血、胆结石、肝肾囊肿、骨质疏松等基础疾病,手术风险极高。然而,如果不进行手术,汤奶奶将面临长期卧床、骨折部位疼痛的困扰,褥疮、肺炎、尿路感染等可能威胁生命的并发症发生率也将显著提高。

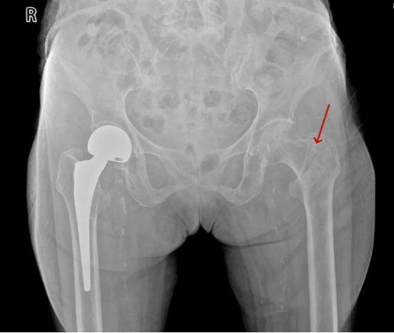
入院后床旁X线检查发现左股骨颈骨折
多学科联合制定科学精准治疗方案
汤奶奶儿孙满堂,家属们积极配合治疗。入院后,医生立即给予皮牵引、抗凝、肺部呼吸训练、预防应激反应和感染等系统处置,及时组织院内多学科联合会诊(MDT),经过骨科、呼吸科、心血管内科、重症医学科、麻醉手术科、神经内科、胃肠外科和营养科等多个科室专家多次会诊评估,为汤奶奶制定出详尽的围手术期治疗方案。

医护团队积极进行术前准备
科学周密的术前检查检验结果提示:汤奶奶无明显手术禁忌,经过全面的营养支持治疗后,经评估之后,确定患者能够耐受手术。

最终,赵亮主任带领团队采用Tubeless无管自主呼吸麻醉技术,与麻醉手术科团队默契配合,非常顺利地为汤奶奶完成了人工髋关节置换手术,仅仅用时30分钟,手术快、准、稳,出血很少。

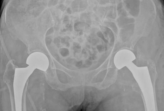
术后床旁X线检查
在医护团队照料下汤奶奶恢复迅速
汤奶奶出院前已能够在无搀扶状态下独立行走
在医护人员的精心治疗下,汤奶奶恢复良好,术后第二天就可以坐起身来,下床适量活动,目前已经平安出院。

关节置换不再拒绝高龄老人
赵亮主任指出,老年髋部骨折是高龄老人常见的严重损伤,由于老年人骨质疏松、骨量减少,骨折后愈合能力较差,如果长期卧床容易导致肺炎、泌尿系统感染等严重并发症,影响老年人的寿命及生活质量。
而随着医疗技术的进步,及时有效的手术治疗对于老年髋部骨折患者来说,能够明显缓解疼痛,快速康复,提高生活质量和预期寿命。
此次高龄老人髋关节置换手术创新性地采用由我院胸外科何建行教授国际首创的“无管化”自主呼吸麻醉技术(又称Tubeless),极大地推动患者术后更快康复。Tubeless技术的推广应用,为骨科手术患者提供最佳的手术条件和最小化术后疼痛,从而最大程度地降低手术应激反应,促进患者术后康复,使得骨科手术的患者更加舒适。
高龄不再是关节手术的绝对禁忌证,赵亮主任指出此类手术要点:
√要科学全面的进行术前评估,无明显手术禁忌才可进行手术。
√要进行全面的对症营养支持治疗,评估能够耐受手术后才可进行手术。
√手术要做到快、准、稳,极为轻柔地操作。
总之,制定科学精准细致的个体化围手术期治疗方案非常重要,能够确保患者安全和临床疗效。
健康小贴士
老年人髋部骨折的发生往往因外伤所致,通过总结很多髋部骨折的临床病例,赵亮主任提醒,老人髋部骨折有两个高发时段:洗澡时和起夜时。因此,家有高龄老人的朋友们尤其应该提高警惕,做好家庭防护及防跌倒措施,有效预防髋部骨折的发生。
本文指导专家


